Internal Medicine Services
We provide referral services for primary care veterinarians in the Central Florida area. As a specialty hospital, we have advanced experience and training dealing with complicated cases.
Abdominal Ultrasound
Abdominal ultrasound enables us to look at the internal architecture of the abdominal organs. This is different than radiographs, which only allow the evaluation of overall size and shape of some of the organs. Ultrasound also can differentiate between fluid and solid tissue, while radiographs cannot.
Indications for abdominal ultrasound include:
- working up abnormal lab work (elevated liver enzymes, elevated kidney values, elevated calcium, low albumin, etc)
- staging of certain types of cancer
- obtaining biopsy samples from internal organs (such as the liver, kidney, spleen, prostate, or internal lymph nodes)
- working up unexplained decreased appetite, vomiting, diarrhea, or weight loss
- unexplained blood in urine or difficulty urinating
- abdominal fluid buildup
- enlarged abdominal organs or abdominal masses

Cat with cysts in the kidney |

Cat with fatty liver disease |
|
|
Link to ultrasound guided aspirate
https://www.tiktok.com/@vssanimalhospital/video/7426370866113531182?lang=en
Link to microscopic exam of aspirate
https://www.tiktok.com/@vssanimalhospital/video/7424640870562925867?lang=en
|
Echocardiography
While radiographs are useful for assessing the overall size and shape of the heart, an echocardiogram can evaluate all the heart valves, measure blood flow thru the valves, and measure the contractility of the heart.
Indications for echocardiography could include:
- heart murmur
- abnormal rhythm
- difficulty breathing
- increased respiratory rate or effort
- fluid accumulation in the chest
- masses in the chest
- fainting spells

Clot in atrium of a cat with cardiomyopathy |

Thickened ventricle walls in a cat with cardiomyopathy |

Thickened ventricle wall and dilated atrium in cat |
|
|
Chemotherapy
Due to increased demand, Veterinary Specialty Solutions is pleased to announce that we are now offering chemotherapy to our patients. In complex cases, Veterinary Specialty Solutions still offers referral to a board certified oncologist.
Chemotherapy is often used to treat a variety of different cancers. The most common cancers diagnosed and treated at Veterinary Specialty Solutions include lymphoma, hemangiosarcoma, transitional cell carcinoma, and mast cell tumors. The goal of chemotherapy is to improve quality of life as well as prolong survival. Most dogs and cats tolerate chemotherapy well. About 80-85% of patients tolerate the treatment with no or minimal side effects. Medications can be given to help with nausea, vomiting, or diarrhea if they occur. In some cases, the drug dosage or protocol needs to be changed.
Veterinary Specialty Solutions will prescribe medications as needed to help prevent/control any potential side effects. We will also recommend periodic monitoring of the Complete Blood Count to make sure the white blood cell count (needed to fight off infection) and platelet count (needed to help blood clot) to make sure they are at acceptable levels. For about 48 hrs after each treatment, we recommend owners wear gloves and wash their hands after handling any urine/feces. But casual contact and petting is still allowed.
Here are a few references that pet parents may find helpful
Chemo Handout by Dr. Sue Ettinger.pdf
Helping Pets Through Chemotherapy by Dr. Sue Ettinger.pdf
Veterinary Oncologists Nearby
Link to chemotherapy video
https://www.tiktok.com/@vssanimalhospital/video/7427504076893572394?lang=en
Fluoroscopy
Fluoroscopy is like a video of radiographs in motion. The most common indications at Veterinary Specialty Solutions are for diagnosing collapsing trachea or GERD (gastroesophageal reflux).
|
|
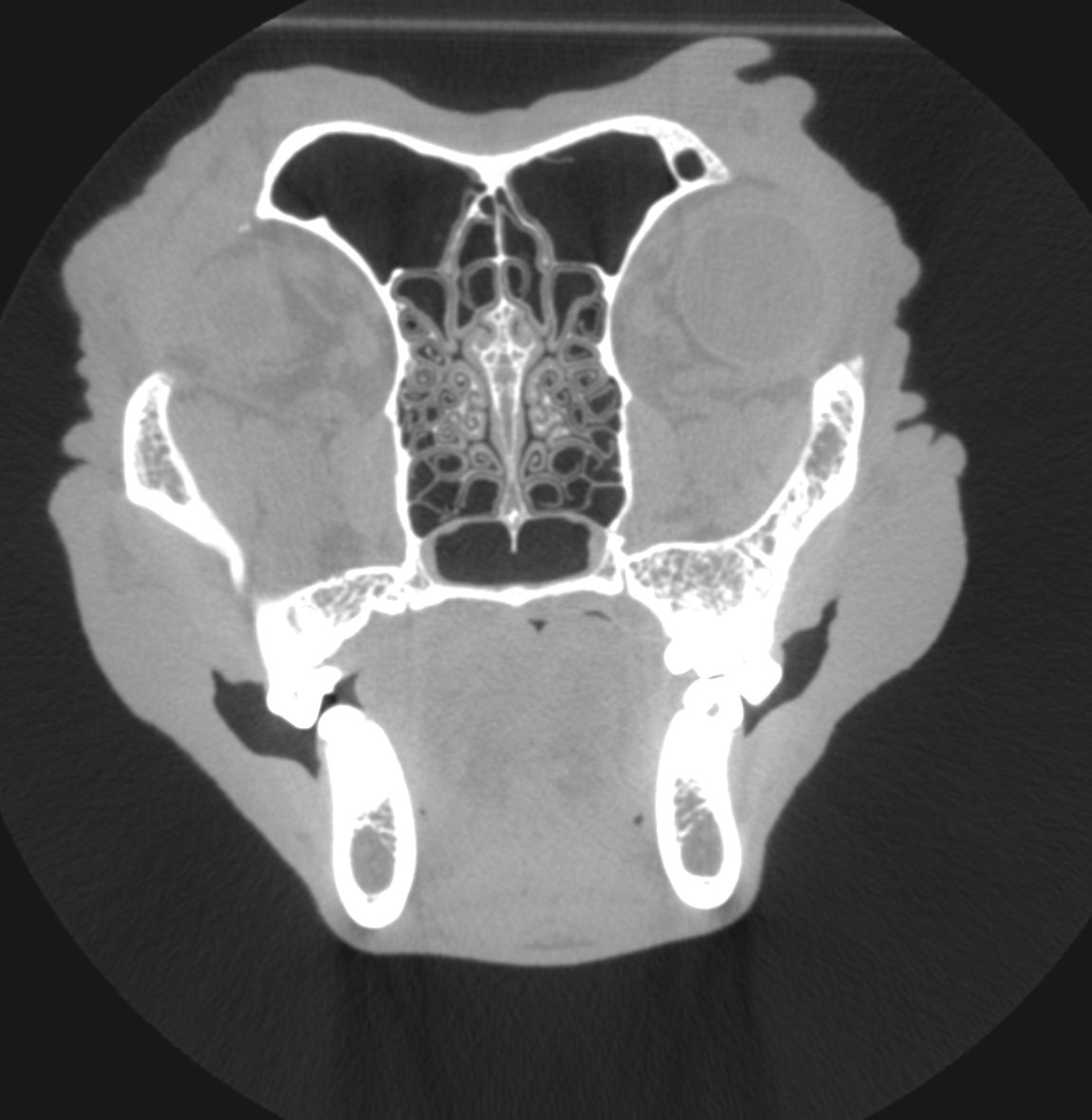
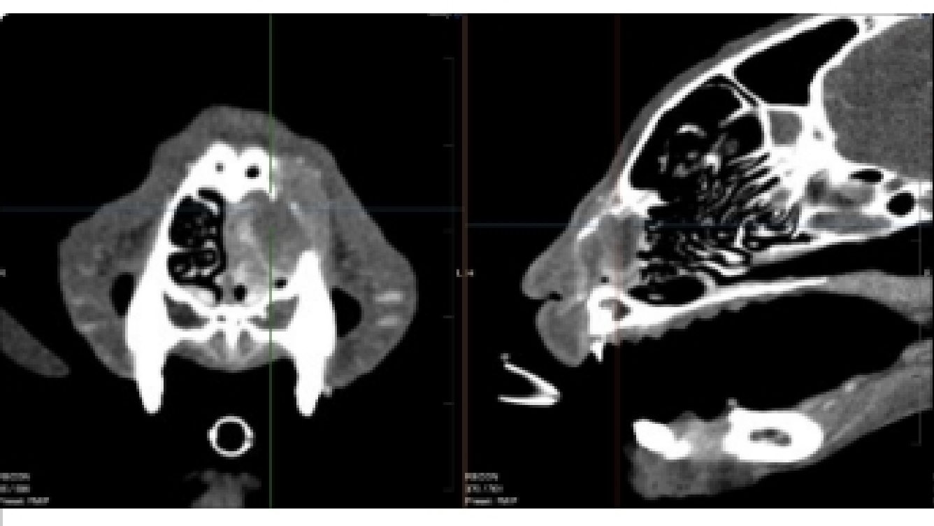
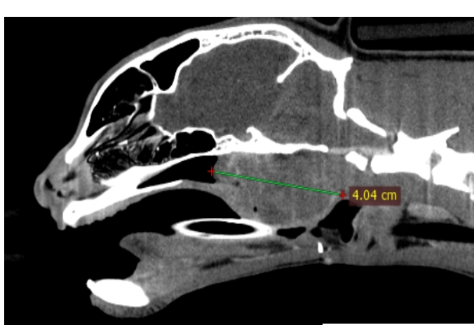
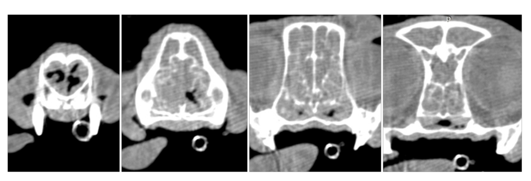
CT (Computed Tomography)
There are many indications for CT scan in animals - such as further evaluation of the nasal cavity, checking for ectopic ureters, finding abnormal vessels, etc.
   Dog with normal nasal cavity and sinuses
 Cat with a nasal mass - biopsy confirmed lymphoma
 Another cat with nasal lymphoma
 Cat with chronic rhinitis and sinusitis
 Cat with a congenital liver shunt

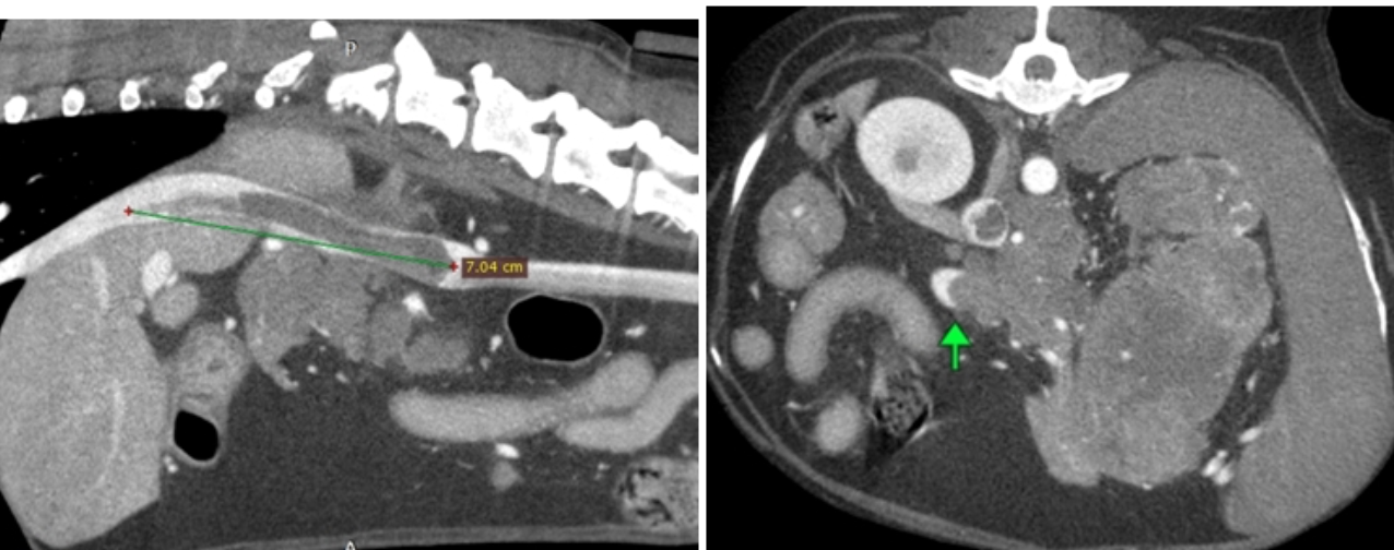
 Dog with invasive adrenal mass
Link to CT
https://www.tiktok.com/@vssanimalhospital/video/7419416650220408106?lang=en
|
Rhinoscopy
Rhinoscopy, in addition to CT scan, can be a useful diagnostic tool to help with the workup of chronic nasal discharge, sneezing, nose bleeds, etc.
 Rhinoscopy in cat with chronic sneezing. Rhinoscopy revealed a mass and biopsy confirmed a type of cancer called lymphoma.
GI Endoscopy
Common indications for endoscopy would include retrieval of foreign objects in esophagus or stomach or chronic GI signs (vomiting, diarrhea, decreased appetite, or weight loss).
Link to video of GI endoscopy
https://www.tiktok.com/@vssanimalhospital/video/7422019478684241198?lang=en
|

Small intestine from a dog with inflammatory bowel disease, a common cause of chronic vomiting. This dog responded well to prednisone therapy.
|

A dog that swallowed a foreign body. Endoscopy is usually able to remove foreign bodies in the stomach with shorter anesthesia time and quicker recovery than surgical removal.
|
|
|